Внимание! Клещи атакуют собак!
Из-за нетипично теплой зимы активизировались клещи. Особенно опасны зимние кровососы для собак, укус больного паразита грозит пироплазмозом или бабезиозом собак.
Из-за нетипично теплой зимы активизировались клещи.
Особенно опасны зимние кровососы для собак, укус больного паразита грозит пироплазмозом или бабезиозом собак. Это опасное, часто смертельно опасное, сезонное заболевание, вызываемое простейшими паразитами рода Babesia.
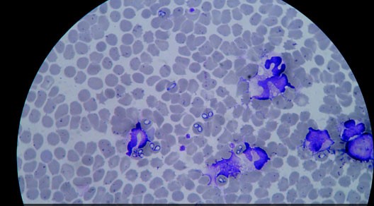
Диагностика пироплазмоза основывается на клинической картине и лабораторных исследованиях. Анализ крови выявляет характерные изменения – снижение уровня эритроцитов и гемоглобина, а также наличие самих бабезий в мазках крови.
Испытательная лаборатория Кировская межрайонной ветстанции аккредитована на проведение таких исследований, что обеспечивает высокую точность диагностики. Это особенно важно для своевременного начала лечения.
Профилактика пироплазмоза: регулярные осмотры собаки после прогулок на наличие клещей, использование акарицидных препаратов, а также вакцинация.
Рената Белич
Редактор портала www.Obninsk.name
Особенно опасны зимние кровососы для собак, укус больного паразита грозит пироплазмозом или бабезиозом собак. Это опасное, часто смертельно опасное, сезонное заболевание, вызываемое простейшими паразитами рода Babesia.
Диагностика пироплазмоза основывается на клинической картине и лабораторных исследованиях. Анализ крови выявляет характерные изменения – снижение уровня эритроцитов и гемоглобина, а также наличие самих бабезий в мазках крови.
Испытательная лаборатория Кировская межрайонной ветстанции аккредитована на проведение таких исследований, что обеспечивает высокую точность диагностики. Это особенно важно для своевременного начала лечения.
Профилактика пироплазмоза: регулярные осмотры собаки после прогулок на наличие клещей, использование акарицидных препаратов, а также вакцинация.
Рената Белич
Редактор портала www.Obninsk.name
Последние новости
Ветеран ВОВ Георгий Иванович Абакумов очень ждет, когда отправится на Парад Победы, но и очень волнуется
Через месяц с небольшим, 9 Мая, на главный Парад года в Москву отправится обнинский ветеран — Георгий Иванович Абакумов.
На калужском мурале дорисовали кресты
Речь идет об изображении Троицкого собора на одном из домов областной столицы.

Вонючий случай или нужны ли в Обнинске общественные туалеты?
Уже не первый год муниципальные власти вроде как решают эту проблему. Но если вдуматься и вспомнить, где в городе первых можно сходить по нужде, кроме кафе и ТЦ, ответ напрашивается нерадостный – нигде.
Потребительский кредит без боли: как не стать жертвой долговой ямы
Как взять кредит с умом и не пожалеть об этом спустя пару месяцев
Здесь вы найдете свежие и актуальные новости в Ленинске-Кузнецком, охватывающие все важные события в городе